Lung Metastasis: Comprehensive Overview

Definition 정의
English: Lung metastasis refers to cancer that has spread to the lungs from another part of the body. This secondary cancer occurs when cancer cells break away from the primary tumor and travel through the bloodstream or lymphatic system to the lungs.
Korean: 폐전이는 다른 신체 부위에서 폐로 퍼진 암을 의미합니다. 이 이차 암은 암세포가 원발 종양에서 떨어져 나와 혈류나 림프계를 통해 폐로 이동할 때 발생합니다.
Risk Factors 위험 요소
English:
- Type of primary cancer: Certain cancers, such as breast, colon, kidney, and melanoma, are more likely to metastasize to the lungs.
- Stage of primary cancer: Advanced stages of cancer are more prone to metastasis.
- Genetic factors: Specific genetic mutations can increase the likelihood of metastasis.
- Immune suppression: Conditions or treatments that weaken the immune system.
Korean:
- 원발 암의 유형: 유방암, 대장암, 신장암, 흑색종과 같은 특정 암은 폐로 전이될 가능성이 더 큽니다.
- 원발 암의 단계: 진행된 단계의 암은 전이가 더 잘 일어납니다.
- 유전적 요인: 특정 유전적 돌연변이는 전이 가능성을 증가시킬 수 있습니다.
- 면역 억제: 면역 체계를 약화시키는 상태나 치료.
Incidence 발생 빈도
English: Lung metastasis is a common occurrence in advanced cancer stages. The incidence varies depending on the type of primary cancer, with lung metastasis occurring in up to 30-55% of patients with metastatic disease.
Korean: 폐전이는 진행된 암 단계에서 흔히 발생합니다. 발생률은 원발 암의 유형에 따라 다르며, 전이성 질환을 가진 환자의 최대 30-55%에서 폐전이가 발생합니다.
Pathology 병리 소견
English: Lung metastasis can occur through several mechanisms:
- Hematogenous spread: Cancer cells travel through the bloodstream to the lungs.
- Lymphatic spread: Cancer cells spread through the lymphatic system to the lungs.
- Direct extension: Cancer invades nearby tissues and extends directly into the lungs.
Korean: 폐전이는 여러 메커니즘을 통해 발생할 수 있습니다:
- 혈행성 전파: 암세포가 혈류를 통해 폐로 이동합니다.
- 림프성 전파: 암세포가 림프계를 통해 폐로 퍼집니다.
- 직접 확장: 암이 인접 조직을 침범하여 직접 폐로 확장됩니다.
Clinical Manifestation 임상 증상
English:
- Early stage: Often asymptomatic, detected incidentally on imaging.
- Advanced stage: Symptoms may include persistent cough, chest pain, shortness of breath, hemoptysis (coughing up blood), and weight loss.
Korean:
- 초기 단계: 종종 무증상이지만 영상 검사에서 우연히 발견됩니다.
- 말기 단계: 지속적인 기침, 흉통, 호흡 곤란, 객혈(피가 섞인 기침) 및 체중 감소 등의 증상이 포함될 수 있습니다.
Diagnosis 진단
English:
- Physical examination: Initial examination to detect signs of respiratory distress.
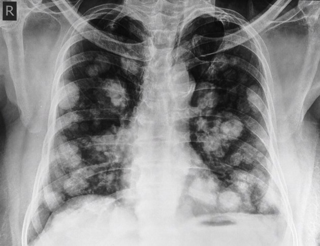
- Imaging: Chest X-ray, CT scan, and PET scan to visualize lung metastasis.
- Biopsy: Needle biopsy or bronchoscopy to obtain tissue samples for histological examination.
- Blood tests: Including complete blood count (CBC) and tumor markers.
Korean:
- 신체 검사: 호흡 곤란의 징후를 감지하기 위한 초기 검사.
- 영상 검사: 폐전이를 시각화하기 위한 흉부 X선, CT 스캔 및 PET 스캔.
- 생검: 조직학적 검사를 위해 조직 샘플을 얻기 위한 바늘 생검 또는 기관지경 검사.
- 혈액 검사: 전체 혈구 수(CBC) 및 종양 마커 포함.
TNM Stage 병기
Stage IV: Lung metastasis is always classified as Stage IV because it indicates that the cancer has spread to distant sites.
StageDescriptionExplanation
|
| IV | Distant metastasis present | Indicates that the primary cancer has spread to the lungs or other distant organs. |
Treatment 치료
English:
- Systemic therapy: Chemotherapy, targeted therapy, or immunotherapy depending on the primary cancer type.
- Radiotherapy: Used to control symptoms and reduce tumor size.
- Surgery: Rarely used; possible in select cases where metastases are limited and resectable.
- Palliative care: Focuses on relieving symptoms and improving quality of life.
Korean:
- 전신 치료: 원발 암의 유형에 따라 화학 요법, 표적 요법 또는 면역 요법.
- 방사선 치료: 증상을 조절하고 종양 크기를 줄이기 위해 사용.
- 수술: 드물게 사용되며, 전이가 제한적이고 절제가 가능한 경우에 선택적으로 시행.
- 완화 치료: 증상 완화 및 삶의 질 향상에 중점을 둡니다.
Prognosis 예후
English:
- Stage IV: Generally, the prognosis is poor due to the advanced nature of the disease. The 5-year survival rate varies widely depending on the primary cancer type and overall health of the patient.
Korean:
- 4기: 일반적으로 질환의 진행성 때문에 예후가 좋지 않습니다. 5년 생존율은 원발 암의 유형과 환자의 전반적인 건강 상태에 따라 크게 달라집니다.
Radiotherapy in Lung Metastasis 폐전이의 방사선치료
English:
- Dose: Typically ranges from 30 to 40 Gy for palliative care, administered in fractions of 2-3 Gy per session.
- Anatomical Range: The radiotherapy field generally includes the metastatic sites in the lungs and may also cover adjacent areas to ensure comprehensive treatment.
Korean:
- 선량: 일반적으로 완화 치료를 위해 30에서 40 Gy 범위로, 세션당 2-3 Gy의 분할 선량으로 투여됩니다.
- 해부학적 범위: 방사선 치료 범위는 일반적으로 폐의 전이 부위를 포함하며, 포괄적인 치료를 위해 인접 부위도 포함될 수 있습니다.
References 근거 자료
- National Cancer Institute. Lung Metastasis Treatment (PDQ®)–Health Professional Version. Retrieved from NCI
- American Cancer Society. Metastatic Cancer. Retrieved from ACS
- World Health Organization. Cancer. Retrieved from WHO
- International Federation of Gynecology and Obstetrics. FIGO staging for lung metastasis. Retrieved from FIGO
Lung Metastasis: Comprehensive Overview
Definition 정의
English: Lung metastasis refers to cancer that has spread to the lungs from another part of the body. This secondary cancer occurs when cancer cells break away from the primary tumor and travel through the bloodstream or lymphatic system to the lungs.
Korean: 폐전이는 다른 신체 부위에서 폐로 퍼진 암을 의미합니다. 이 이차 암은 암세포가 원발 종양에서 떨어져 나와 혈류나 림프계를 통해 폐로 이동할 때 발생합니다.
Risk Factors 위험 요소
English:
Korean:
Incidence 발생 빈도
English: Lung metastasis is a common occurrence in advanced cancer stages. The incidence varies depending on the type of primary cancer, with lung metastasis occurring in up to 30-55% of patients with metastatic disease.
Korean: 폐전이는 진행된 암 단계에서 흔히 발생합니다. 발생률은 원발 암의 유형에 따라 다르며, 전이성 질환을 가진 환자의 최대 30-55%에서 폐전이가 발생합니다.
Pathology 병리 소견
English: Lung metastasis can occur through several mechanisms:
Korean: 폐전이는 여러 메커니즘을 통해 발생할 수 있습니다:
Clinical Manifestation 임상 증상
English:
Korean:
Diagnosis 진단
English:
Korean:
TNM Stage 병기
Stage IV: Lung metastasis is always classified as Stage IV because it indicates that the cancer has spread to distant sites.
StageDescriptionExplanation
Treatment 치료
English:
Korean:
Prognosis 예후
English:
Korean:
Radiotherapy in Lung Metastasis 폐전이의 방사선치료
English:
Korean:
References 근거 자료